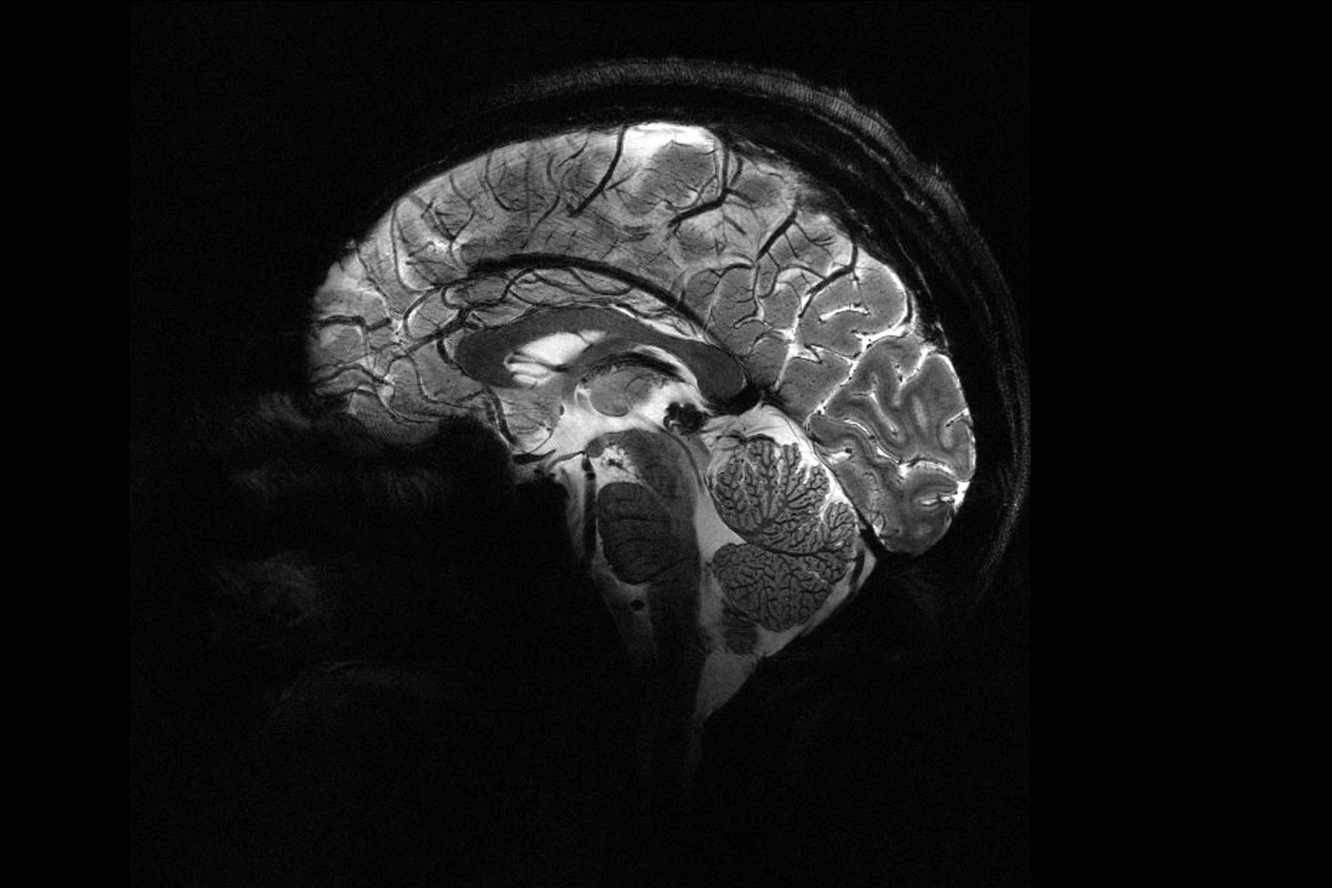
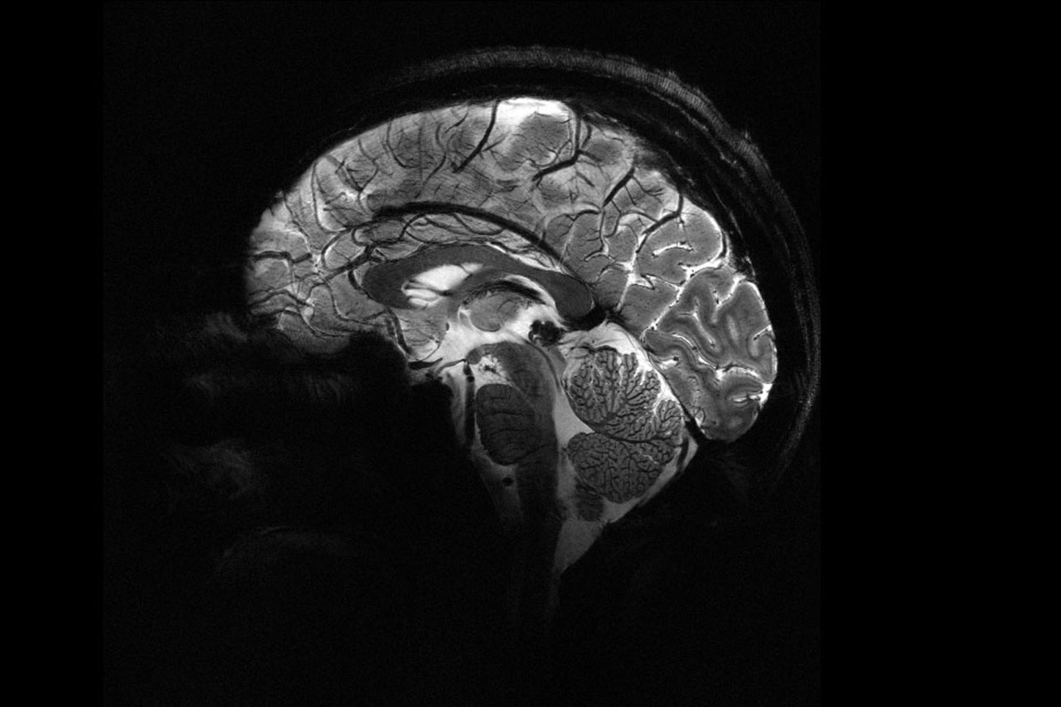
نشرت هيئة الطاقة الذريّة في فرنسا صورة هي الأدق على الإطلاق لدماغ إنسان بعد تلقيهم الضوء الأخضر لاستخدام أقوى جهاز تصوير بالرنين المغناطيسي.
وكانت السلطات المعنية قد تمهلت في منح التصريح بعد أن استُخدم الجهاز لأوّل مرة عام 2021 لتصوير ثمار اليقطين، ولكن خلال الأشهر القليلة الماضية تقدم نحو 20 متطوعا ليكونوا أوّل من يجرّبوا الجهاز الذي يوجد الآن في منطقة بلاتو دي ساكلاي جنوب باريس حيث تضم المنطقة العديد من الشركات التكنولوجية والمقرّات الجامعية.
ويقول الفيزيائي ألكسندر فيغنود إنّهم تمكنوا من التوصّل إلى درجة عالية من الدقة لم تتحقق من ذي قبل. وتصل شدّة المجال المغناطيسي الذي ينشئه الجهاز نحو 11.7 تسلا، وتتيح هذه القوّة للجهاز إجراء عمليات المسح بدقة أكبر بعشر مرّات مقارنة بأجهزة التصوير بالرنين المغناطيسي النموذجية في المستشفيات والتي لا تتجاوز قوّتها عادةً 3 تسلا.
ومن خلال مقارنة عدّة صور بين تلك التي التُقطت بالجهاز الحديث وصور أخرى من أجهزة التصوير الاعتيادية، يقول فيغنود إنّهم باستخدام الماسح الضوئي القوي تمكنوا من رؤية أوعية صغيرة تغذّي القشرة الدماغية، كما تمكنوا من ملاحظة تفاصيل المخيخ التي لم يُكشف عنها الغطاء قبل صدور الصور الجديدة.
وتقول عالمة الفيزياء ووزيرة الأبحاث في فرنسا سيلفي ريتيللو: إنّ درجة الدقة لا يمكن وصفها، وهذا الإنجاز من شأنه علاج واكتشاف العديد من أمرض الدماغ بشكل أفضل ويساعد في التشخيص المبكر.
ويبلغ طول الأسطوانة التي يتألف منها الجهاز 5 أمتار، وتحتوي على مغناطيس بوزن 132 طنًا، ويُشغّل بواسطة تيار كهربائي يبلغ 1500 أمبير. كما أنّ للأسطوانة فتحة بطول 90 سم يمكن للإنسان البالغ الدخول فيها بسهولة دون أيّ عوائق.
وعلى نحو مماثل تُصنع أيضًا أجهزة قوية للتصوير بالرنين المغناطيسي في كوريا الجنوبية والولايات المتحدة، إلا أنّ هذه الأجهزة لم تدخل نطاق الخدمة بعد.
ومن ضمن التجارب العلمية التي يستعين العلماء فيها بتقنية التصوير بالرنين المغناطيسي التعرّف على الإشارات الكهربائية في الدماغ والتي تظهر وتنشط فجأة في مناطق معيّنة في القشرة الدماغية عند التعرّف على أشياء معيّنة.
ويعتقد العلماء أنّ جهاز التصوير الحديث من شأنه تعزيز القدرة على فهم الرابط بين الوظائف المعرفية وبنية الدماغ، ويأمل الباحثون أيضًا أن يساهم الجهاز في التعرّف على حالات التنكس العصبي مثل مرض ألزهايمر ومرض باركنسون، والحالات النفسية مثل الفصام أو الاكتئاب. ويأمل الباحثون كذلك في فهم كيفية استجابة الدماغ لأدوية علاج الاضطراب ثنائي القطب.


