في عالم الأبحاث الطبية المتسارع، يمثل التغلب على مقاومة السرطان للعلاج تحديًا مستمرًا. مؤخرًا، حقق باحثون في الولايات المتحدة تقدمًا واعدًا في مكافحة سرطان الرئة، وذلك من خلال استخدام تقنية “كريسبر” الجينية لإعادة فعالية العلاج الكيميائي. هذه التقنية المبتكرة تفتح آفاقًا جديدة لتحسين فرص الشفاء للمرضى الذين لم يعد العلاج الكيميائي فعالاً بالنسبة لهم.

تقنية كريسبر: بصيص أمل جديد في علاج سرطان الرئة

تم تطوير هذه التقنية المذهلة في معهد تحرير الجينات التابع لمستشفى “كريستيانا كير” بالولايات المتحدة. تعتمد على القدرة على تعديل الجينات بدقة عالية، مما يسمح للباحثين بإيقاف تشغيل الجينات المسؤولة عن مقاومة العلاج الكيميائي في خلايا سرطان الرئة. النتائج الأولية للدراسة، التي نُشرت في دورية “Molecular Therapy Oncology” المرموقة، تُظهر إمكانية كبيرة في استعادة حساسية الخلايا السرطانية للأدوية التقليدية.

كيف تعمل تقنية كريسبر في مكافحة المقاومة؟

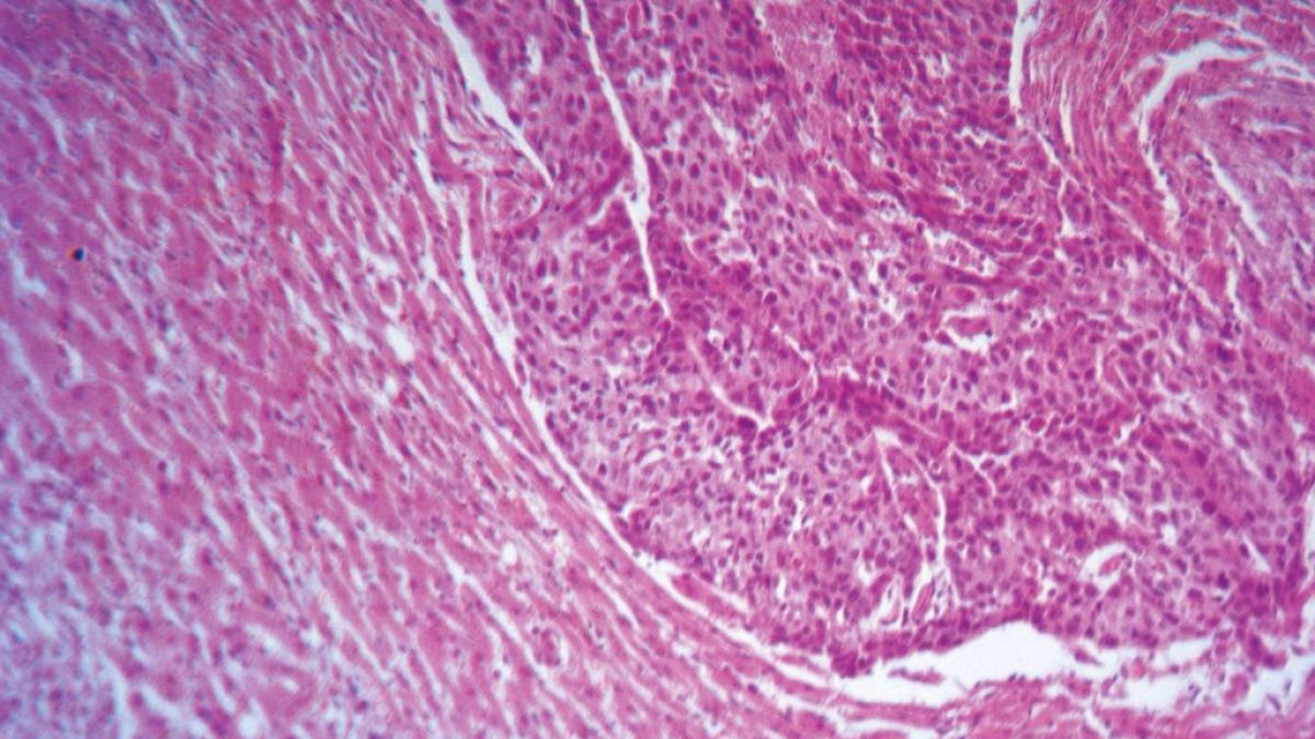
تكمن المشكلة الرئيسية في بعض أورام الرئة في قدرتها على تطوير آليات مقاومة للعلاج الكيميائي. هذا يعني أن الخلايا السرطانية تتوقف عن الاستجابة للدواء، مما يحد من فعاليته. اكتشف الباحثون أن جينًا معينًا، يُعرف باسم “إن آر إف 2” (NRF2)، يلعب دورًا حاسمًا في هذه المقاومة. من خلال تعطيل هذا الجين باستخدام تقنية كريسبر، تمكنوا من إعادة حساسية الخلايا السرطانية للعلاج الكيميائي.

تحديد الطفرة المسؤولة عن المقاومة: خطوة حاسمة

لم يقتصر الأمر على تحديد الجين المسؤول عن المقاومة، بل تمكن الفريق البحثي بقيادة الدكتورة كيلي باناس من تحديد طفرة محددة داخل هذا الجين، وهي “آر 34 جي” (R34G). هذه الطفرة تزيد بشكل كبير من قدرة الخلايا السرطانية على مقاومة العلاج. وباستخدام تقنية كريسبر، تمكنوا من استهداف هذه الطفرة تحديدًا وإعادة حساسية الخلايا السرطانية لأدوية كيميائية شائعة مثل كاربوبلاتين وباكليتاكسيل.

نتائج التجارب: نجاح ملموس في المختبر وخارجها

أظهرت التجارب المعملية والعينات البحثية التي تحاكي سلوك الأورام الحقيقية نتائج واعدة للغاية. حتى تعديل نسبة صغيرة فقط من خلايا الورم، تتراوح بين 20% و 40%، كان كافيًا لتحسين استجابة العلاج وتقليل نمو الورم. هذه النتيجة مهمة بشكل خاص، نظرًا لصعوبة استهداف جميع الخلايا السرطانية في الورم. هذا التقدم يمثل تطورًا هامًا في مجال العلاج الجيني للسرطان.

مستقبل العلاج الكيميائي: نحو فعالية أكبر

تُعد هذه النتائج خطوة واعدة نحو إعادة حساسية الأورام للعلاج التقليدي. قد تفتح الطريق أمام تطوير علاجات أكثر فعالية للسرطانات المقاومة في المستقبل. بالإضافة إلى ذلك، يمكن أن تساعد هذه التقنية في تقليل الجرعات العالية من العلاج الكيميائي، وبالتالي تقليل الآثار الجانبية الضارة التي يعاني منها المرضى.

دور العلاج الموجه في تعزيز الاستجابة

بالتوازي مع تقنية كريسبر، يدرس الباحثون إمكانية الجمع بينها وبين العلاج الموجه، وهو نوع من العلاج يستهدف خصائص معينة للخلايا السرطانية. هذا النهج المدمج قد يؤدي إلى نتائج أفضل وأكثر استدامة في علاج الأورام السرطانية المقاومة. كما أن فهم آليات المقاومة الدوائية بشكل أعمق، مثل دور جين NRF2، يفتح الباب أمام تطوير أدوية جديدة تستهدف هذه الآليات بشكل مباشر.

الخلاصة: أمل جديد للمرضى

إن التقدم الذي حققه الباحثون في معهد “كريستيانا كير” باستخدام تقنية كريسبر يمثل بصيص أمل جديد للمرضى الذين يعانون من سرطان الرئة المقاوم للعلاج. على الرغم من أن هذه النتائج لا تزال في مراحلها الأولية، إلا أنها تشير إلى إمكانية كبيرة في تحسين فعالية العلاجات الحالية وتطوير علاجات جديدة أكثر استهدافًا وفعالية. نأمل أن تؤدي هذه الأبحاث إلى تحسين نوعية حياة المرضى وزيادة فرص الشفاء في المستقبل القريب. لمزيد من المعلومات حول أحدث التطورات في علاج السرطان، ندعوكم إلى زيارة المواقع المتخصصة في الأبحاث الطبية ومتابعة آخر المستجدات.

شاركها.
اترك تعليقاً